Lameness and Digital Exams
24/7 Emergency Services | 5-Star Rated Hospital
Lameness Examinations
Lameness exams of horses can range from being a straight-forward single limb problem to a multi-limb problem. To diagnose the problem affecting only a single limb to a complex multi-limb problem requires several diagnostics to evaluate and treat. Veterinary exam findings and owner input is necessary to get a better understanding of the problem. Our veterinarians use a logical pattern of diagnostics to accurately diagnose the source of the pain and start the appropriate treatment. The owner’s role in the examination is to provide an accurate history of when the lameness began and how it has progressed, both prior to and after the initiation of treatment.
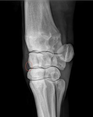
Equine Digital Radiography
Digital radiography is used to view images of bone and soft tissue. The images are digital, rather than film and are available immediately, allowing for quick, on-site assessment of problems. The ability to manipulate the images on the computer and enhance specific regions of the image allows for better visualization of the problem areas.
Radiography is most commonly used in horses to view problems within the legs, making it an invaluable tool for lameness evaluations. Radiography is also very helpful in pre-purchase examinations, by helping uncover underlying or potential lameness issues before they manifest themselves symptomatically.
Diagnostic Ultrasound & Musculoskeletal Injuries in Horses

Tendon and ligament injuries are relatively common among equine athletes. Horses engaged in strenuous work such as racing, jumping, endurance or barrel racing are more likely to sustain a tendon or ligament injury. However, injuries can and do occur in horses of all breeds and uses, including the backyard or light use horse.
Diagnostic ultrasound is considered the gold standard in the evaluation of tendons and ligaments in horses. This brochure is designed to help you understand more about tendon and ligament injuries, their diagnosis, management and rehabilitation.
Conventional radiography (X-ray) is invaluable when it comes to diagnosing disease in the bone structure of the horse. However, there are many instances where X-rays alone cannot diagnose a problem, or fully reveal the issues with a single lameness/disease. Soft tissue injury is very common in horses and requires a more specialized diagnostic tool to understand. Ultrasound has come a long way in the past 20 years and has become a mainstay of equine practice. Our machine gives us the capability of looking at soft tissues structures such as tendons, stifle structures, joint spaces, and the uses range up to abdominal and thoracic ultrasound. This machine can help us diagnose causes of colic, pneumonia, abscesses, and the list goes on. Having this technology brings another level of diagnostics on par with what clients receive at referral practices.
Equine Digital Endoscopy

Video endoscope allows visualization of the upper airways (nasal passages, pharynx, larynx, guttural pouches) and trachea, while the video gastroscope is longer and can be passed down the esophagus to evaluate the stomach and even the first few inches of the duodenum. Both these units allow clear visual access to internal structures of the horse through minimally invasive procedures.

Gastroscopy is the only way to diagnose gastric ulcerations and the best way to monitor response to therapy. The horse must be fasted prior to the procedure in order to visualize the entire gastrointestinal system. Horses are sedated for gastroscopy to minimize stress to your animal and optimize the evaluation.
Both video scopes project the image onto a computer monitor so the veterinarian is able to point out areas of concern to the owner or trainer. We are able to take still images in addition to video images to keep in the horse’s record or to send to a referral institution depending on the severity of the diagnosis.
Conditions which can be diagnosed or evaluated with video endoscopy include:
- Nasal discharge
- Coughing
- Guttural pouch disease
- Many performance limiting conditions
- Respiratory allergies or inflammation (heaves)
- Pneumonia
Our practice offers gastroscopy clinics periodically throughout the year, so make sure to check our upcoming events page for our future dates.
Schedule Your Appointment Today
Call 405-288-6267
"Interstate Equine always answers texts in a timely manner. His staff is the friendliest ever. Cannot thank Dr. Bliss enough for the wonderful care he gave my horses. I'd highly recommend these people."
Mary, Facebook






